Dentist in Westmont, IL
Kathryn Kennedy, DDS
Dentist in Westmont, IL
Dr. Kathryn Kennedy in Westmont, Illinois provides both general dentistry as well as comprehensive orthodontics. After providing orthodontic services for many years, Dr. Kennedy found that one of the major motivators for getting braces for young adults was crowding in the front six teeth. By using patented FastBraces® technology with specially designed “winged brackets,” we are able to move the roots of the teeth more predictably and in less time than traditional braces.

In today's fast-paced world, no one wants to wait years for straighter, healthier teeth. That's why FastBraces® technology is revolutionizing orthodontic treatment. Developed in 1992, this trusted and affordable technology uses patented innovations to straighten teeth comfortably and predictably in record time. Many of our patients are seeing visible results in as little as 3 months without cutting corners for speed!
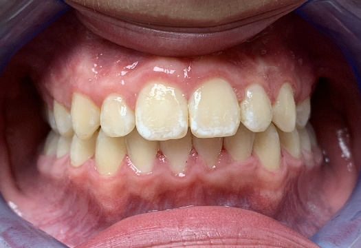
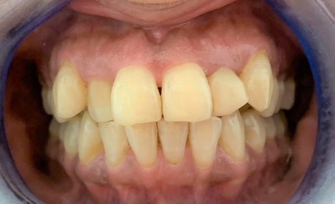
Here is an actual patient of Dr. Kennedy that was treated with FastBraces®:

BEFORE ORTHODONTICS

AFTER ORTHODONTICS
The unique bracket design of the brackets helps to move the root and the crown of the tooth simultaneously, thereby reducing treatment time.
In addition to fixing crowding or crooked teeth, this will also correct overbites, overjets, underbites, and even open bites.
Yes, we have treated a wide range of orthodontic issues using FastBraces® for both our child patients as well as adults
If your plan covers orthodontics, then it would be a covered benefit. It doesn’t matter which method of braces is used; it’s more the resulting treatment and necessity of the treatment that the insurance companies are concerned with.
The triangular-shaped FastBraces® brackets are designed to move the entire tooth (crown and root) at once. Traditional braces with square brackets move the crown first by tilting it into position, and then, in the second phase, attempt to
pull the root into position, often requiring 24 months or more of treatment. FastBraces® gently uprights the whole tooth in one stage, cutting treatment time in half.
Another unique feature of this process is that it utilizes a single orthodontic wire for the entire process! The dynamic super-elastic nickel-titanium archwire, which is activated by mouth heat, applies ideal forces to straighten teeth quickly and comfortably. There's no need for multiple wires or tightening appointments that can cause discomfort. Patients report low sensitivity and minimal discomfort compared to old brace systems.
Certain circumstances may require the back teeth to be properly aligned in order to maintain a stable bite and straight front teeth. Often, it could be from oral habits such as tongue thrust, thumb sucking, or biting on hard items over time.
While no shortcuts can be taken, FastBraces® was developed with speed and safety in mind. The unique design of the brackets helps to restore healthy bone growth for strong, stable results. FastBraces® is used successfully worldwide.
Affordable - lower cost than traditional braces
Discreet - tooth-colored or metal options
Comfortable - low force nickel-titanium wire
Effective - treats alignment and gum health together
Focused - straightens front 6 upper and lower teeth first
Fast Results - visible changes in as little as 4 months
Stable - encourages healthy bone growth
Safe for Teens and Adults
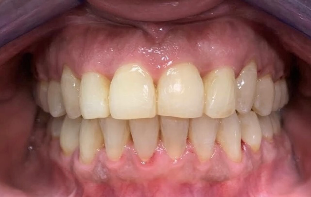
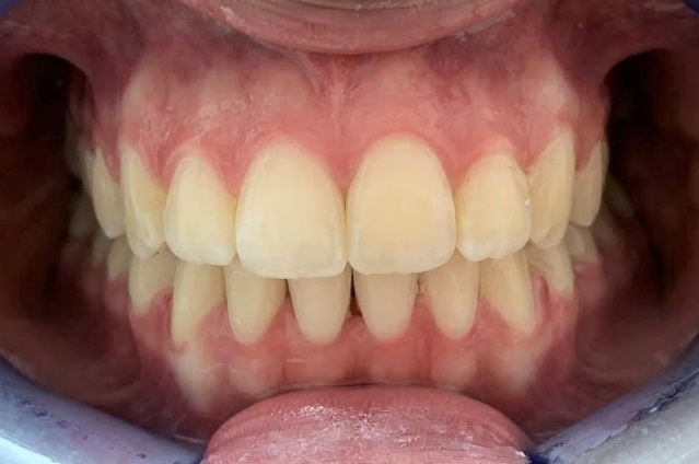
Dr. Kennedy uses FastBraces® to give patients faster, more affordable smiles. See the dramatic before and after photos. Some patients see significant improvement in just 4-6 months!
BEFORE

AFTER

BEFORE

AFTER

BEFORE

AFTER

BEFORE FASTBRACES®
AFTER FASTBRACES®
Whether you are looking to have conventional orthodontics or look into this method of orthodontics, Dr. Kathryn Kennedy has the experience you need to make the right decision. Dr. Kennedy is a MASTER PROVIDER of Fastbraces®. She has taken additional training and has shown consistent proficiency in this treatment methodology. Call our Westmont, IL office today at 630-509-7870 to find out if this procedure is best for you!


Office Hours
Office Hours
(630) 810-9940
331 W. 63rd St.
Westmont, IL 60559
We're located at the corner of 63rd and Willaims, one block west of Cass Ave.
Copyright 2023 Dr. Kathryn Kennedy | Privacy Policy | Site Design by: Integrity Dental Marketing