Dentist in Westmont, IL
Kathryn Kennedy, DDS
Dentist in Westmont, IL
As part of our commitment to providing state-of-the-art services to our dental patients in the in Westmont, Illinois area, Dr. Kathryn Kennedy is proud to present the following technology to better serve our clients:
Magnification Loupes allow us to see your teeth three times larger giving us the capability for more accuracy and detail when doing your dental care.

Air Abrasion allows us to gently clean out the grooves in the tops of the teeth without drilling or the need for any anesthetic when we are placing sealants or doing small fillings.

Micro Air Abrasion

Spots on front teeth

Spots removed
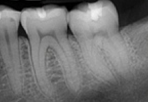
Digital X-rays provide us with more detail viewing and the ability to enlarge a view to look at specific areas in greater depth. In addition, it allows us the capacity to email your x-rays when we collaborate with our local specialists in the area. The biggest benefit is to our patients who receive 80-90% LESS radiation when taking x-rays to examine their teeth, allowing us much more safety on your behalf.

Digital Scanner – we purchased a Medit i500 intra-oral scanner that allows us to take very accurate “impression” scans for our crowns. Instead of sitting there for several minutes with a mouthful of goop waiting for it to set up, we are able to scan your teeth and then send it directly to the lab. This minimizes contamination, it speeds up the process, it gives more accurate impressions from which the lab can print up a solid model and give us more accurate better-fitting crowns.

3D Vatech Conebeam Machine – one of our more recent additions to our office that has helped us tremendously in in providing awesome service to our patients is this new low dosage CT scanner x-ray machine. It provides us an incredible amount of information when we are doing dental implants, orthodontics, root canals, and oral surgery. This machine actually provides a 3D model so we can see curvatures of roots, location of accessory canals, nerve locations and so much more. It not only helps with the precision on the work we do but also the safety in the way we deliver our care to you! It provides us with both panoramic as well as CT scans for viewing images and treatment planning.

Office Hours
Office Hours
(630) 810-9940
331 W. 63rd St.
Westmont, IL 60559
We're located at the corner of 63rd and Willaims, one block west of Cass Ave.
Copyright 2023 Dr. Kathryn Kennedy | Privacy Policy | Site Design by: Integrity Dental Marketing